Introdução

Você tem 50 anos, pressão normal, colesterol "no limite" e se sente bem. Deveria começar a tomar estatina? E se houvesse um exame capaz de olhar diretamente para suas artérias coronárias e dizer — com alta precisão — se existe aterosclerose silenciosa acumulada ao longo de décadas, antes de qualquer sintoma ou evento cardiovascular? Esse exame existe. Chama-se Escore de Cálcio Coronariano (CAC) — também conhecido como CAC score — e é hoje reconhecido pelas principais diretrizes internacionais como um dos mais poderosos ferramentas de estratificação de risco cardiovascular disponíveis para pacientes assintomáticos. Uma mini-revisão publicada em Frontiers in Radiology em 2026 consolidou sua posição: o CAC identifica pacientes com risco subestimado pelos escores clínicos tradicionais, orienta decisões sobre estatinas com precisão superior a outros biomarcadores e oferece o chamado "poder do zero" — a certeza de que, se o resultado for zero, o risco de infarto nos próximos anos é muito baixo. No Instituto Inject, em Marília-SP, o Prof. Dr. Estevão Tavares de Figueiredo utiliza o escore de cálcio como parte integrante do protocolo de check-up cardiovascular de precisão — porque prevenir infarto exige enxergar o que os exames de sangue não mostram.

Veja a seguir os tópicos que serão abordados neste blog post: Escore de Cálcio Coronariano: O Que É, Para Que Serve e Quando Fazer

  1. O que é o escore de cálcio coronariano e como ele é obtido
  2. Como o escore de cálcio é classificado e o que cada valor significa
  3. O "poder do zero": o que significa um CAC = 0 e o conceito de período de garantia
  4. Escore de cálcio e o novo escore PREVENT 2025: como as diretrizes brasileiras usam o CAC
  5. Para quem o escore de cálcio é indicado — e para quem não é
  6. CAC score e a decisão sobre estatinas: o impacto clínico direto
  7. Limitações do escore de cálcio: o que ele não detecta
  8. Como o Instituto Inject integra o escore de cálcio ao check-up cardiovascular

O escore de cálcio coronariano é um dos exames mais subutilizados da cardiologia preventiva brasileira. Leia este artigo até o final e entenda por que esse exame simples, rápido e sem contraste pode mudar completamente a abordagem do seu risco cardiovascular.

 

1. O Que É o Escore de Cálcio Coronariano e Como Ele É Obtido

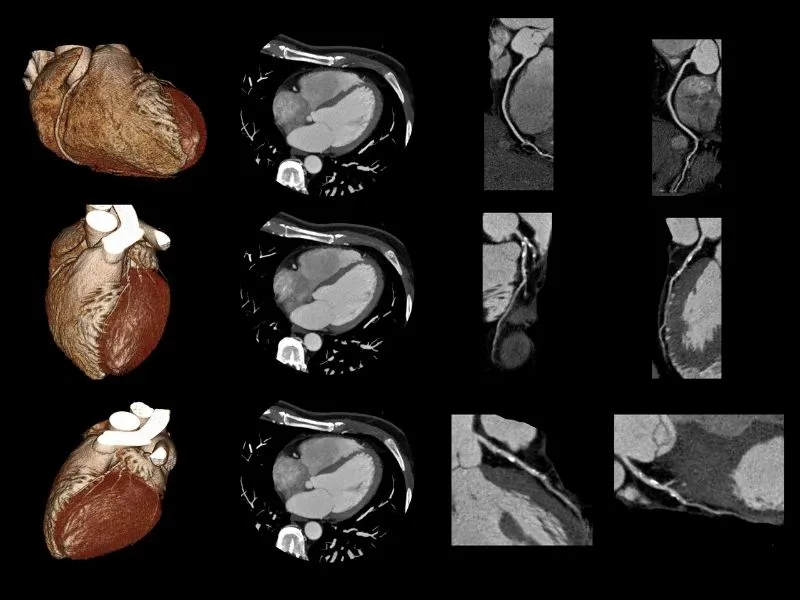
O escore de cálcio coronariano (CAC) é uma medida quantitativa da carga de aterosclerose calcificada nas artérias coronárias — obtida por meio de tomografia computadorizada sem contraste, de baixa dose de radiação, com duração de aproximadamente 10 a 15 minutos. Não exige jejum, não utiliza contraste iodado e não é invasivo.

O princípio biológico por trás do exame é direto: quando as placas ateroscleróticas envelhecem e se estabilizam, elas tendem a acumular cálcio. Esse cálcio é altamente visível na tomografia — e sua quantidade é proporcional à carga total de aterosclerose coronariana acumulada ao longo da vida do paciente. O CAC, portanto, não detecta apenas aterosclerose ativa — detecta décadas de acúmulo silencioso de placa nas artérias do coração.

O método mais utilizado para quantificação é o Escore de Agatston — padrão de referência internacional, que calcula a pontuação a partir da densidade e da área de cada depósito calcificado detectado nas artérias coronárias (descendente anterior, circunflexa, coronária direita e tronco da coronária esquerda). O resultado é expresso em Unidades Agatston (UA).

 

2. Como o Escore de Cálcio É Classificado e O Que Cada Valor Significa

A classificação do escore de cálcio coronariano por faixas de Agatston está consolidada nas diretrizes internacionais e na literatura científica:

CAC (Agatston)InterpretaçãoRisco Cardiovascular
0Ausência de cálcio detectávelMuito baixo — "período de garantia"
1 a 10Calcificação mínimaBaixo
11 a 100Calcificação leveModerado
101 a 400Calcificação moderadaAlto — favorece início de estatina
> 400Calcificação extensaMuito alto
> 1.000Calcificação graveRisco equivalente à prevenção secundária

O estudo MESA (Multi-Ethnic Study of Atherosclerosis) — o maior e mais importante estudo sobre CAC, com mais de 25.000 participantes e 15 anos de seguimento — demonstrou associação graduada entre o escore de cálcio e eventos cardiovasculares em 10 anos: taxas de eventos variaram de 1,3% a 5,6% para CAC = 0 e de 13,1% a 26,6% para CAC > 300. Uma revisão publicada em Frontiers in Radiology (2026) confirma que escores > 100 universalmente indicam risco ≥ 7,5% em 10 anos — limiar que justifica o início de estatinas pela maioria das diretrizes.

Além do valor absoluto, o resultado é comparado com percentis por sexo e idade — porque um CAC de 80 em um homem de 45 anos tem significado prognóstico muito diferente de um CAC de 80 em um homem de 70 anos. A Diretriz ACC/AHA recomenda considerar o percentil específico por sexo e idade além do valor absoluto: escore ≥ 75º percentil para a faixa etária favorece o início de terapia mesmo com valor absoluto moderado.

 

3. O "Poder do Zero": O Que Significa um CAC = 0 e o Conceito de Período de Garantia

Um dos conceitos mais clinicamente relevantes do escore de cálcio é o chamado "poder do zero" — o que acontece quando o resultado é CAC = 0.

A ausência de cálcio detectável nas artérias coronárias significa que não há aterosclerose calcificada naquele momento — e isso se traduz em um prognóstico cardiovascular muito favorável nos anos seguintes. O estudo MESA demonstrou que, mesmo entre pacientes de risco intermediário pelos escores tradicionais, aqueles com CAC = 0 tiveram taxas de eventos cardiovasculares muito baixas — justificando adiar o início de estatinas e reclassificar o risco para baixo.

O conceito de "período de garantia" — estabelecido pelo MESA e publicado no JACC: Cardiovascular Imaging (Dzaye O et al. JACC Cardiovasc Imaging. 2021;14(5):990–1002) — define por quanto tempo um resultado CAC = 0 permanece clinicamente válido antes de um novo exame ser necessário. A análise de 3.116 participantes demonstrou que:

  • O período de garantia varia de 3 a 7 anos dependendo do sexo, etnia e risco cardiovascular basal
  • Pacientes com diabetes têm período de garantia significativamente mais curto
  • Aproximadamente 15% dos pacientes com CAC = 0 progressão para CAC > 10 em 5 a 8 anos

Importante: CAC = 0 não significa risco zero. Dados de 16 anos do MESA confirmam que tabagismo ativo, diabetes e hipertensão permanecem como preditores independentes de eventos cardiovasculares mesmo com CAC = 0. Nesses casos, o médico pode considerar o início de estatinas mesmo diante de um resultado "zero".

 

4. Escore de Cálcio e o Novo Escore PREVENT 2025: Como as Diretrizes Brasileiras Usam o CAC

O cenário da prevenção cardiovascular no Brasil foi atualizado com a adoção do novo escore PREVENT (Predicting Risk of Cardiovascular Disease Events), desenvolvido pela American Heart Association (AHA) e incorporado pelas diretrizes brasileiras de 2025 — SBC, SBEM, ABESO e SBH.

O PREVENT substituiu as calculadoras anteriores como ferramenta preferencial de estratificação de risco em prevenção primária, incorporando função renal (eGFR) como componente obrigatório e eliminando a variável etnia. Sua grande inovação para a prática do escore de cálcio: o CAC agora é formalmente integrado ao processo de reclassificação de risco em pacientes de risco intermediário.

Segundo a diretriz adotada pelas sociedades brasileiras em 2025:

Pacientes de risco intermediário pelo PREVENT devem ter seu risco reclassificado ativamente por meio de fatores agravantes — e o CAC > 100 é um dos principais critérios de reclassificação para alto risco, com mudança imediata da meta de LDL de < 100 mg/dL para < 70 mg/dL.

No Congresso Brasileiro de Cardiologia 2024, ficou estabelecido que o escore de cálcio é indicado para adultos ≥ 40 anos com risco intermediário a alto (7,5% a < 20% de risco cardiovascular em 10 anos) como estratificador de risco e orientador da decisão sobre estatinas — especialmente quando há incerteza sobre iniciar ou não o tratamento farmacológico.

 

5. Para Quem o Escore de Cálcio É Indicado — e Para Quem Não É

A Diretriz ACC/AHA e as recomendações consolidadas pelas sociedades brasileiras estabelecem indicações e contraindicações claras para o CAC:

Indicado para:

  • Adultos de 40 a 75 anos assintomáticos, sem diabetes, com LDL entre 70 e 189 mg/dL
  • Risco intermediário (7,5% a 20%) ou limítrofe (5% a < 7,5%) pelo escore de risco
  • Situação de incerteza clínica sobre iniciar ou não estatina — "eu não sei se devo tratar esse paciente"
  • Pacientes com fatores de risco de alto impacto mesmo sem doença estabelecida: histórico familiar de doença cardiovascular prematura (homens < 55 anos, mulheres < 65 anos), doença renal crônica, doenças inflamatórias crônicas (artrite reumatoide, lúpus, psoríase), HIV
  • Pacientes que recusam iniciar estatina e gostariam de uma base objetiva para a decisão

Não indicado para:

  • Pacientes já em uso de estatina — o CAC não mudará a conduta
  • Pacientes com doença cardiovascular aterosclerótica estabelecida (pós-infarto, AVC, revascularização) — já são de muito alto risco independentemente do CAC
  • Pacientes com fatores que já indicam estatina independentemente (hipercolesterolemia familiar, LDL > 190 mg/dL, diabetes com fatores de risco)
  • Risco muito alto ou extremo pelos escores tradicionais — o CAC não acrescenta informação decisiva

 

6. CAC Score e a Decisão sobre Estatinas: O Impacto Clínico Direto

A principal utilidade clínica do escore de cálcio coronariano é orientar a decisão sobre início de estatina em pacientes de risco intermediário — o grupo em que os escores clínicos tradicionais têm menor poder discriminatório e onde a decisão médica é mais difícil.

O algoritmo de decisão baseado no CAC, conforme as diretrizes mais recentes, funciona assim:

CAC = 0: risco reclassificado para baixo. É razoável adiar o início de estatina e reavaliar com novo CAC em 5 a 7 anos (ou menos em diabéticos e tabagistas). A diretriz ACC/AHA afirma explicitamente que "é razoável suspender a terapia com estatina" em pacientes com CAC = 0 sem fatores de risco de alto impacto.

CAC 1 a 99: estatina deve ser considerada, especialmente se ≥ 75º percentil para sexo e idade. A decisão envolve discussão compartilhada com o paciente sobre benefícios e preferências.

CAC ≥ 100 ou ≥ 75º percentil: estatina indicada. O CAC ≥ 100 reclassifica o paciente para alto risco e muda a meta de LDL para < 70 mg/dL nas novas diretrizes brasileiras de 2025.

CAC > 400: estatina de alta potência indicada com urgência. Risco elevado de eventos coronarianos nos próximos 10 anos.

CAC > 1.000: risco equivalente ao de prevenção secundária — consideração de terapia mais intensiva, incluindo ezetimiba associada à estatina e, em casos selecionados, inibidor de PCSK9.

Um estudo publicado em JACC Cardiovascular Imaging (Pavlović J et al. JACC Cardiovasc Imaging. 2025;18(4):465–475) comparando a aplicação do CAC pelas diretrizes ACC/AHA e ESC/EAS em 1.903 adultos assintomáticos concluiu que a aplicação guiada por diretrizes melhora significativamente a estratificação de risco para prevenção primária, com número necessário para tratar (NNT) aceitável para estatinas de alta potência.

 

7. Limitações do Escore de Cálcio: O Que Ele Não Detecta

O escore de cálcio coronariano é uma ferramenta poderosa — mas com limitações importantes que o médico e o paciente devem conhecer:

Não detecta placas moles (não calcificadas): o CAC mede apenas a aterosclerose calcificada. Placas lipídicas recentes, inflamadas e não calcificadas — justamente as mais instáveis e propensas à ruptura — não são visíveis no CAC. Um jovem com aterosclerose precoce e placas moles pode ter CAC = 0 e ainda ter risco aumentado. Para esse cenário, a angiotomografia coronariana — exame com contraste que visualiza tanto placas calcificadas quanto não calcificadas — é mais informativa.

Não avalia a estenose coronariana: o CAC diz que há cálcio nas artérias, mas não informa se há obstrução significativa do fluxo. Não substitui a angiotomografia ou o cateterismo em pacientes com sintomas sugestivos de isquemia.

Radiação: embora baixa, há exposição à radiação ionizante — fator relevante em pacientes jovens que precisarão de múltiplos exames ao longo da vida.

Não deve gerar cascata diagnóstica: a descoberta de CAC elevado em paciente assintomático não indica automaticamente a realização de cateterismo ou outros exames invasivos — a decisão de investigação adicional deve ser baseada em sintomas e na avaliação clínica integrada.

 

8. Como o Instituto Inject Integra o Escore de Cálcio ao Check-up Cardiovascular

No Instituto Inject, o escore de cálcio coronariano é solicitado de forma seletiva e estratégica — não como exame de rotina para todos os pacientes, mas como ferramenta de refinamento da estratificação de risco naqueles em que a decisão clínica sobre tratamento preventivo permanece incerta após a avaliação inicial.

O protocolo de integração do CAC ao check-up cardiovascular do Prof. Dr. Estevão Tavares de Figueiredo inclui:

Passo 1 — Estratificação inicial pelo escore PREVENT 2025: classificação em risco baixo, intermediário, alto ou muito alto, incorporando pressão arterial, colesterol, função renal, HbA1c quando disponível e histórico clínico.

Passo 2 — Avaliação de fatores agravantes: Lp(a) ≥ 75 nmol/L, PCR ultrassensível elevada, síndrome metabólica, histórico familiar de doença cardiovascular prematura, doenças inflamatórias — fatores que podem reclassificar o risco mesmo antes do CAC.

Passo 3 — Indicação do CAC para risco intermediário com incerteza: quando o paciente está na zona de decisão — risco entre 7,5% e 20% — e há dúvida sobre iniciar estatina, o CAC é solicitado para resolver a incerteza de forma objetiva.

Passo 4 — Interpretação integrada: o resultado do CAC é interpretado em conjunto com o perfil lipídico avançado (LDL, ApoB, Lp(a)), a Diretriz SBC de Dislipidemias 2025 e o escore PREVENT — definindo a meta de LDL e a intensidade do tratamento com precisão individualizada.

Passo 5 — Monitoramento: definição do período de reavaliação com novo CAC conforme o resultado (5 a 7 anos para CAC = 0, 3 a 5 anos para CAC = 0 com fatores de risco, sem indicação de repetição precoce para CAC elevado já tratado).

 

Perguntas Frequentes sobre Escore de Cálcio Coronariano

O escore de cálcio dói? Precisa de preparo? Não. O exame é completamente indolor, realizado por tomografia computadorizada sem contraste, sem jejum e sem preparo específico. Dura aproximadamente 10 a 15 minutos, com baixa dose de radiação.

CAC = 0 significa que não vou ter infarto? CAC = 0 significa que o risco nos próximos anos é muito baixo — mas não zero. Tabagismo, diabetes e hipertensão aumentam o risco mesmo com CAC = 0. O resultado deve ser sempre interpretado pelo médico em conjunto com o perfil clínico completo do paciente.

Jovens devem fazer o escore de cálcio? Em geral, não é indicado rotineiramente antes dos 40 anos — pois a calcificação coronariana é rara em jovens sem fatores de risco. Em jovens com hipercolesterolemia familiar, histórico familiar muito forte de doença cardiovascular precoce ou outros fatores de alto risco, a indicação pode ser individualizada.

O escore de cálcio substitui o cateterismo? Não. São exames com objetivos diferentes. O CAC avalia aterosclerose subclínica em pacientes assintomáticos para estratificação de risco preventivo. O cateterismo é indicado para diagnóstico e tratamento de doença coronariana estabelecida com sintomas ou evidência de isquemia — em pacientes sintomáticos ou com resultado de testes funcionais alterados.

Com que frequência devo repetir o escore de cálcio? Depende do resultado e do perfil de risco. Para CAC = 0 sem fatores de risco de alto impacto, o período de garantia é de 5 a 7 anos. Para CAC positivo já em tratamento com estatina, a repetição geralmente não é necessária — pois o tratamento já está instituído e o CAC não guiará mudanças adicionais.

 

Conclusão

Chegamos ao fim de mais um conteúdo desenvolvido pelo Instituto Inject. Neste blog post abordamos: o conceito e o mecanismo do escore de cálcio coronariano como medida quantitativa da aterosclerose subclínica; a classificação por faixas de Agatston e o significado clínico de cada valor; o "poder do zero" e o conceito de período de garantia estabelecido pelo MESA; a integração do CAC ao novo escore PREVENT 2025 adotado pelas diretrizes brasileiras; as indicações precisas e contraindicações do exame; o impacto direto do CAC na decisão sobre início de estatinas; as limitações — especialmente a ausência de detecção de placas moles e estenoses; e o protocolo do Instituto Inject para integração do CAC ao check-up cardiovascular de precisão.

O escore de cálcio coronariano é a janela que permite ver décadas de aterosclerose silenciosa antes que ela se manifeste como infarto. É medicina preventiva no seu mais alto nível.

Você é de risco intermediário e ainda não sabe se precisa de estatina?

Agende agora sua avaliação cardiovascular completa no Instituto Inject e descubra seu escore de risco cardiovascular com precisão — incluindo a indicação individualizada do escore de cálcio coronariano pelo Prof. Dr. Estevão Tavares de Figueiredo.

Instituto Inject — Marília, SP 

WhatsApp para agendamento: (14) 99884-1112 

Cuide da sua saúde com a precisão que você merece.

 

Prof. Dr. Estevão Tavares de Figueiredo CRM SP 195033 | RQE 70601-70602/1 Cardiologista | PhD pela USP Instituto Inject — Marília, SP

 

Referências Bibliográficas

  1. Pavlović J, Bos D, Ikram MK, et al. Guideline-Directed Application of Coronary Artery Calcium Scores for Primary Prevention of Atherosclerotic Cardiovascular Disease. JACC Cardiovasc Imaging. 2025;18(4):465–475.
  2. Dzaye O, Dardari ZA, Cainzos-Achirica M, et al. Warranty Period of a Calcium Score of Zero: Comprehensive Analysis From MESA. JACC Cardiovasc Imaging. 2021;14(5):990–1002.
  3. Frontiers in Radiology. Coronary artery calcium scoring in 2026: strengths, limitations, and optimized clinical use. Front Radiol. 2026.
  4. Rached FH, Miname MH, Rocha VZ, et al. Diretriz Brasileira de Dislipidemias e Prevenção da Aterosclerose — 2025. Arq Bras Cardiol. 2025;122(9):e20250640.
  5. Grundy SM, Stone NJ, Bailey AL, et al. 2018 AHA/ACC Guideline on the Management of Blood Cholesterol. Circulation. 2019;139(25):e1082–e1143.
Publicado em 30/04/2026